MR Advanced Acceleration Technology Task and Finish Group

Welcome to the IPEM MR Advanced Acceleration Technology (AAT) Task and Finish Group home page.

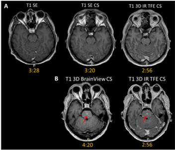
A new generation of MR pulse sequence technology has arrived. The techniques are collectively known as advanced acceleration technology or AAT. AAT promises to deliver MR imaging faster than ever before, which can have a significant impact on how MR departments are run whilst benefitting patients, radiologists, radiographers and waiting lists if deployed to its full potential. However, there is no standard way of deploying this complex technology across the full range of MR scanner protocols and manufacturers, and it was quickly realised that guidance and shared experience from early adopters of the technology would add benefit to other MR services new to AAT.

The IPEM MR AAT Task and Finish group was set up in Autumn 2022, with representation from MR clinical scientists across the UK and Ireland. We set ourselves the task of producing several complementary resources to provide experience and guidance for MR physics, MR radiographer, radiologist and radiology manager colleagues. The results of this process are collected on this site.

Disclaimer: the information presented below reflects clinical user experiences shared through the IPEM AAT Task and Finish Group. Members of the IPEM MR AAT Task and Finish Group receive no funding from scanner manufacturers and have no conflicts of interest to declare.

Webinars

Webinars

A set of webinars that give an overview of the available technology, plus implementation guidance and experience for GE, Philips and Siemens users. These were delivered in late spring 2023 and are available on youtube.

MR AAT Experience Resource

MR AAT Experience Resource

An online database with compiled practical experience of deploying each individual existing AAT across three MR manufacturers. Last update October 2023.

Case Studies

Case Studies

A set of case studies of the implementation of AAT at a UK MR centres, either protocol specific, or at the level of whole service.

Pulse Sequence Protocols

Pulse Sequence Protocols

A repository of pulse sequence protocols that can be downloaded to be installed on MR scanners with certain software versions as example AAT enabled protocols

COMING SOON: Topical Report
A written topical report summarising the knowledge and experience gained by early adopters of MR AAT.

For any questions or comments regarding the materials produced by the IPEM MR AAT Task and Finish Group please contact: Michael.hutton4@nhs.net and steven.jackson6@nhs.net